Gallery

 
 
 
 
 

One of the many benefits of our braces in Gastonia, North Carolina, is that they create straight smiles. We invite you to browse through the photos below to see how Dr. James B. Macomson and our experienced team have shifted teeth into beautiful new positions. We invite you to contact our orthodontist today if you want to learn more about our care. We look forward to helping you improve your smile!


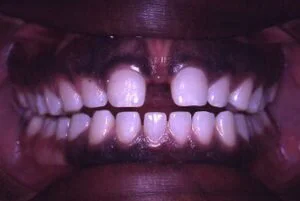
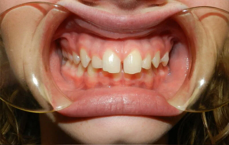
Diastema

 
435-Shaconda-Simmons1-300x201.jpg

Before

 
435-Shaconda-Simmons2-300x201.jpg

After

 
 
 

Crossbite

 
436-Eric-champion1-1-300x201.jpg

Before

 
436-Chloe-Villareal1-300x201.jpg

Before

 
436-Torez-Leach1-300x201.jpg

Before

 
436-Eric-Champion2-300x201.jpg

After

 
 
436-Chloe-Villareal2-300x201.jpg

After

 
 
436-Torez-Leach2-300x201.jpg

After

 
 
 

Open Bite

 
437-Caroline-Comer1-300x201.jpg

Before

 
437-Heather-Carver1-300x201.jpg

Before

 
437-Caroline-Comer2-300x201.jpg

After

 
 
437-Heather-Carver2-300x201.jpg

After

 
 
 

Orthodontics and Restoration of Undersized Teeth

 
437-Karina-Jones1-300x201.jpg

Before

 
438-Karina-Jones2-300x201.jpg

After

 
 
 

Crowding

 
Crowding_1.jpg

Before

 
Crowding_2.jpg

After

 
 
 

Protrusion

 
Protrusion_1_Dave.jpg

Before

 
Protrusion_3_Lee.jpg

Before

 
Protrusion_5_Iris.jpg

Before

 
Protrusion_2_Dave.jpg

After

 
 
Protrusion_4_Lee.jpg

After

 
 
Protrusion_6_Iris.jpg

After

 
 
 

Missing Teeth

 
MissingTeeth_1_Mayla.jpg

Before

 
MissingTeeth_2_Mayla.jpg

After

 
 
 

Spacing

 
Spacing_1_Shirley.jpg

Before

 
Spacing_2_Shirley.jpg

After

 
 
 

Overbite

 
Overbite_1_Susan.jpg

Before

 
Overbite_3_Victoria.jpg

Before

 
Overbite_5_Curtis.jpg

Before

 
Overbite_2_Susan.jpg

After

 
 
Overbite_4_Victoria.jpg

After

 
 
Overbite_6_Curtis.jpg

After

 
 
 

Jaw Discrepancies Corrected by Orthodontics and Jaw Surgery

 
746-Renee-Woods1-300x201.jpg

Before

 
747-Renee-Woods4-300x201.jpg

Before

 
748-Hunter-Mullis2-300x201.jpg

Before

 
749-Hunter-Mullis6-300x201.jpg

Before

 
748-Hunter-Mullis1-300x201.jpg

Before

 
caroline2-300x201.jpg

Before

 
caroline5-260x300.jpg

Before

 
caroline3-300x201.jpg

Before

 
Dunn1-300x225.jpg

Before

 
Dunn3-300x300.jpg

Before

 
Dunn5-300x225.jpg

Before

 
747-Renee-woods2-300x201.jpg

After

 
 
747-Renee-Woods3-300x201.jpg

After

 
 
Mullis4-300x201.jpg

After

 
 
748-Hunter-Mullis5-300x201.jpg

After

 
 
748-Hunter-Mullis3-300x201.jpg

After

 
 
caroline1-300x201.jpg

After

 
 
caroline6-260x300.jpg

After

 
 
caroline4-300x201.jpg

After

 
 
Dunn2-300x225.jpg

After

 
 
Dunn4-300x300.jpg

After

 
 
Dunn6-300x225.jpg

After

 
 
 

All patients are past or current patients of Dr. Macomson. These pictures are used with permission of each patient.